Welcome To MacPhail Signature Smiles
Welcome to a dental experience that transforms lives through exceptional care and genuine compassion. As your trusted East Lansing dentist, Dr. MacPhail, DDS has been serving the Mid-Michigan community since 1993, providing comprehensive dental services that blend advanced technology with comfort-focused amenities. At MacPhail Signature Smiles, we believe that your dental visit should be more than just a routine appointment—it should be a journey toward optimal oral health and a confident smile.
Our Mission
Our commitment as your East Lansing dentist extends beyond traditional dental care. We lead and inspire the standards of dentistry while creating a state-of-the-art experience for every patient who walks through our doors. Our entire team is dedicated to recognizing the unique value of each individual and their specific needs.
Through continuous education and a warm, stimulating environment, we maintain the highest level of professionalism and ethics in everything we do, ensuring your dental health remains our top priority while making informed decisions about your care.
Dental Services
It All Begins with Your Smile. Let us make your dream smile a reality!
Porcelain Crowns
Dental porcelain has the ability to be molded and sculpted to look virtually the exact same as natural tooth enamel, while simultaneously providing significant resilience and strength.
Dental Implants
A dental implant is a small, titanium screw tooth that is actually placed into your jaw bone in order to support a dental crown or bridge.
Teeth Whitening
Dr. MacPhail and our dental professionals have the knowledge and experience necessary to help you get the bright, white, and healthy smile you’ve always dreamed of.
Dental Bridges
The dental experts at Dr. MacPhail, DDS are highly skilled and experienced in implementing dental bridges in Okemos.
Invisalign
If you have misaligned teeth but you don’t want to deal with the hassle of having braces, our Invisalign services might be the perfect solution for you and your teeth.
Sleep Apnea
Depending upon the type and severity of the sleep apnea, there are various treatment options available to patients who suffer from this condition.
TMJ Solutions
Painful jaw joints and chronic headaches don’t have to control your life – MacPhail Signature Smiles offers advanced TMJ therapy using proven neuromuscular techniques. Our East Lansing dentist leverages detailed imaging and muscle mapping to pinpoint the underlying causes of your discomfort. Through gentle, non-surgical treatments, we help restore proper jaw alignment and function.
Your personalized TMJ treatment begins with ULF-TENS therapy to relax tense muscles and increase healing blood flow. We then stabilize your bite using a precisely crafted orthotic that guides your jaw into its optimal position. Regular monitoring and adjustments ensure lasting relief as your jaw maintains its improved alignment.
Sleep Apnea
Suffering through another night of fragmented sleep? A revolutionary dental appliance could be your key to uninterrupted rest. Rather than wrestling with a cumbersome CPAP machine, our East Landing dentist at MacPhail Signature Smiles crafts sleek, custom devices that work silently while you slumber. These innovative solutions prevent airway collapse without the noise and bulk of traditional treatments.
Each sleep apnea device begins with digital impressions that capture your unique oral anatomy for optimal comfort. The featherlight appliance guides your lower jaw forward, maintaining steady breathing throughout the night. Periodic adjustments and sleep monitoring ensure you achieve the deepest, most restorative rest possible.
Invisalign
Imagine straightening teeth without compromising your lifestyle – invisible aligners make this possible. Our East Lansing dentist harnesses advanced scanning to map each shift in your smile’s journey. Beyond just Invisalign treatment, MacPhail Signature Smiles delivers personalized care that fits seamlessly into your daily routine.
These crystal-clear aligners orchestrate precise tooth movements while remaining undetectable to others. Each customized tray builds on the progress of the last, revealing your ideal smile through a series of small victories. Advanced monitoring ensures your transformation stays on track with minimal office visits.
Dental Implant
Today’s advanced implant technology can permanently restore your incomplete smile with biocompatible titanium roots. Each artificial tooth anchors directly to your jawbone, stimulating healthy bone growth while providing unmatched stability. Your East Lansing dentist at MacPhail Signature Smiles employs dental implants to craft restorations that blend seamlessly with natural teeth.
State-of-the-art CBCT imaging guides precise surgical placement to protect vital structures. The implant fuses with surrounding bone over several months, creating an unshakeable foundation. Your custom crown attaches securely to this base, restoring both confidence and full chewing function.
Periodontal Care
Healthy gums form the foundation for lifelong dental wellness, which is why periodontal care focuses on preventing and treating gum disease. The East Lansing dentist team at MacPhail Signature Smiles employs ultrasonic scaling and laser therapy to eliminate harmful bacteria beneath the gumline. Advanced screenings detect early warning signs before they progress into serious infections.
Regular maintenance appointments use specialized instruments to remove stubborn tartar and biofilm from root surfaces. We measure gum pocket depths to track healing progress while our antimicrobial treatments target persistent infection. Custom home care plans help maintain your restored gum health between visits.
Cosmetic Dentistry
Unlock your smile’s full potential through personalized aesthetic enhancement. The latest advances in cosmetic dentistry allow our East Lansing dentist at MacPhail Signature Smiles to perfect tooth color, shape, and alignment. From subtle touch-ups to complete smile makeovers, we tailor treatments to match your unique facial features.
Our porcelain veneers mask imperfections while whitening treatments erase years of stains. Digital smile design technology previews your results before treatment begins. Whatever your aesthetic goals, our customized approach ensures natural-looking results that complement your features.
General Dentistry
Prevention forms the cornerstone of lasting oral health, which is why comprehensive checkups detect problems early. From digital X-rays to tooth-colored fillings, our general dentistry services protect and preserve your natural smile. The East Lansing dentist team at MacPhail Signature Smiles employs state-of-the-art technology for precise diagnosis and treatment.
Our mercury-free approach means safer, more aesthetic restorations that blend seamlessly with your teeth. Advanced pain-free injection techniques ensure complete comfort during procedures. Regular cleanings and protective sealants help prevent decay while maintaining optimal gum health.
About Dr. MacPhail | Okemos Dentist
Dr. MacPhail was born and raised in the Greater Lansing area before moving to Wisconsin with her husband while he served in the United States Navy. While in Wisconsin she graduated from the University of Wisconsin-Parkside with a Bachelor of Biological Science Degree, and from Marquette University School of Dentistry with a Doctor of Dental Surgery Degree.
As a provider, her goal is to educate patients on their current dental condition and provide enough knowledge for patients to confidently make the best treatment decisions for themselves. She hopes to help patients understand the importance of establishing and maintaining good oral health as they transition throughout their life.
Meet the Doctor
As your East Lansing dentist since 1993, Dr. MacPhail, DDS has established a standard of excellence in comprehensive dental care. She specializes in complex dental services including TMJ therapy, sleep apnea treatment, and advanced cosmetic procedures. Through extensive training with leading dental experts nationwide, Dr. MacPhail delivers sophisticated treatment options while prioritizing patient comfort and lasting results. Her expertise in both routine and specialized dental care makes informed decisions about your dental health straightforward and effective.
Why Choose Us
Excellence in Complete Dental Care
Your East Lansing dentist provides all the dental services you need in one location, from preventive care to advanced treatments like TMJ therapy and sleep apnea solutions. Our state-of-the-art facility enables our dental staff to deliver comprehensive care that addresses both immediate concerns and long-term oral health goals. We’ve invested in the latest technology to ensure accurate diagnostics and precise treatment delivery for every dental visit.
Professional Development Priority
As your dentist in East Lansing, we maintain the highest standards through continuous learning and skill enhancement. Dr. MacPhail, DDS regularly participates in advanced clinical training with leading dental experts across the country. This dedication to education means you receive sophisticated care backed by the latest research and techniques in modern dentistry.
Comfort Beyond Standard Care
Your comfort shapes every aspect of our dental practice. From heated neck pillows to paraffin hand treatments, we’ve carefully chosen amenities that transform routine dental care into a genuinely pleasant experience. Our entire team focuses on creating a calm, welcoming environment where you can receive treatment without stress or anxiety.
Individualized Treatment Solutions
Each patient who visits our East Lansing dentist receives personalized attention and customized care recommendations. During your initial patient consultation, we take time to understand your specific needs, explain your options clearly, and develop effective treatment plans. This careful attention ensures you receive exactly the care you need for optimal dental health.
Proven Quality Standards
When choosing a dentist who East Lansing residents know they can count on precision and durability in every procedure. We focus on delivering dental work that not only enhances your beautiful smile but also maintains its quality for years to come. Our attention to detail and commitment to excellence show in every filling, crown, and treatment we provide.
Advanced Technology for Superior Dental Care
At MacPhail Signature Smiles, we invest in the latest dental technology to provide precise diagnostics, more comfortable treatments, and superior long-term results. Our cutting-edge tools allow us to deliver highly accurate, minimally invasive care tailored to your needs.
CBCT
CBCT (Cone Beam CT)
Provides 3D imaging for detailed assessments of bone structure, airways, and dental implants, ensuring precise treatment planning.
Learn MoreUltra-Low Frequency
Ultra-Low Frequency TENS
Relaxes jaw muscles to assist in neuromuscular dentistry, particularly for TMJ therapy and bite correction.
Learn MoreDigital Bite Analyzer
Digital Bite Analyzer
Measures the pressure distribution on your teeth, helping diagnose and correct bite imbalances for better function and comfort.
Learn MoreTeeth Cleanings
Ultrasonic Instrumentation for Teeth Cleanings
Uses high-frequency sound waves to gently and effectively remove plaque and tartar, ensuring a deep, comfortable clean.
Learn MoreK-7 Neuromuscular
K-7 Neuromuscular Technology (Miletronics)
Used for TMJ diagnosis and treatment, analyzing jaw function to improve bite alignment and alleviate pain.
Learn MoreDigital Scanning
Digital Scanning (iTero Scanner) & Teeth Scan
Eliminates messy impressions by creating highly accurate 3D digital models of your teeth for Invisalign, crowns, and more.
Learn MoreLaser Technology
Dialed Laser Technology
Enables minimally invasive treatments for soft tissue procedures, reducing discomfort and speeding up healing.
Learn MoreReviews from our happy patients
Creating vibrant smiles for healthy lifestyles!
The East Lansing Dentist Patients Trust For Life
Ready to experience exceptional dental care? Contact Dr. MacPhail, DDS, your trusted dentist in East Lansing, at 517-347-6733 to schedule your appointment at MacPhail Signature Smiles. Our dental staff looks forward to helping you achieve optimal oral health in our modern, comfortable facility. Follow us on Facebook and Instagram to see our latest updates and discover how we’re helping patients maintain healthy teeth and beautiful smiles throughout the East Lansing community.
FAQs
What additional amenities do you offer during dental visits?
As your dentist in East Lansing, we provide unique comfort features that enhance your dental care experience. Our amenities include heated neck pillows, cozy blankets, paraffin hand treatments, and specialized relaxation techniques. These thoughtful touches help create a calming environment where patients can receive treatment comfortably.
How do you help patients who feel anxious about dental care?
Our East Lansing dentist and dental staff understand that dental anxiety is common and take extra steps to ensure your comfort. We begin by listening to your concerns and explaining each procedure thoroughly so you know exactly what to expect. Our team uses gentle techniques, modern technology, and proven relaxation methods to help reduce anxiety and make your dental visit more pleasant.
What preventive dental services do you recommend?
Regular preventive care forms the foundation of good oral health. We recommend professional cleanings, comprehensive examinations, digital x-rays, and protective sealants as needed. Our dental practice also provides personalized guidance on home care techniques to help maintain healthy teeth between visits.
How long does a typical appointment take?
Your appointment duration depends on the specific dental services needed, but we schedule ample time to address your concerns without feeling rushed. Routine cleanings typically take about an hour, while more complex procedures may require additional time. Our dental staff will provide specific timing details when scheduling your treatment.
What technology do you use to improve patient care?
Our commitment to excellence includes investing in advanced dental technology that enhances diagnosis and treatment accuracy. We utilize digital X-rays for reduced radiation exposure, intraoral cameras that let you see what we see, and modern sterilization systems that exceed industry standards. These tools help our patients trust us to deliver precise, efficient care.
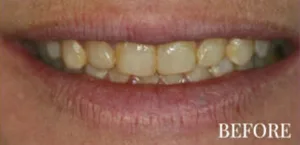
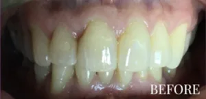
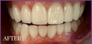
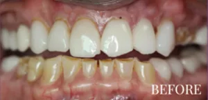
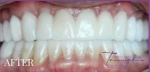
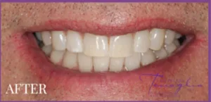
Before and After








Contact & Location
Serving The Greater East Lansing Area
Location
Send Us a Message
"*" indicates required fields
An Award-Winning Dentistry
Dr. MacPhail, DDS is a trusted name for excellent general, cosmetic, and reconstructive dental care in Okemos. Having accomplished much throughout her 30 years in practice, her reputation among her colleagues in the dental community speaks for itself.
Dr. MacPhail has been a recipient of many prestigious awards, including the People’s Choice Award for the “Best Dentist in Okemos,” the Don Bunka Outstanding Service Award, and the Rotary District 6360 Award. View her other accolades below.