
Dental X-Rays

When it comes to your oral health, what lies beneath the surface matters just as much as what we can see. At MacPhail Signature Smiles, Dr. MacPhail, DDS uses advanced dental X-rays to detect issues that might otherwise go unnoticed during a regular examination. They help us detect cavities, assess bone levels, examine roots, and catch potential issues early, before they become serious. Our state-of-the-art technology ensures you receive the most accurate diagnosis with minimal radiation exposure, prioritizing both your health and safety.
Understanding Dental X-Rays
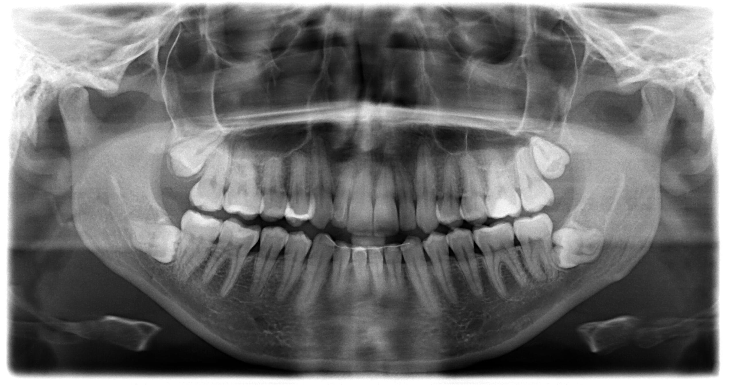
Dental X-rays (radiographs) are images that show the structures inside your mouth that aren’t visible during a regular dental exam. These images capture your teeth, the roots beneath your gums, and your jawbone, revealing potential issues like decay between teeth, bone loss, impacted teeth, abscesses, or cysts. Different types of X-rays serve various diagnostic purposes, ranging from detecting cavities to planning orthodontic treatment or dental implants.
Regular dental X-rays play a crucial role in preventive care by helping us detect problems early when they’re easier and less expensive to treat. They provide a baseline of your oral health that we can compare over time, allowing us to monitor even subtle changes that might indicate developing issues. Without this valuable insight, many dental problems would remain hidden until they cause pain or require more extensive treatment.
Serving areas of Okemos, Lansing, and East Lansing, MI
Provided by Our Experienced Dentist
At Dr. MacPhail, DDS’s office our state-of-the-art technology allows us to take digital x-rays for patients, which offer several significant advantages over traditional x-rays. Dr. MacPhail saw the benefits of digital x-rays early on and has the newest digital x-ray system in the market, which has the lowest exposure of harmful dosages. Our team of dental experts are highly trained and experienced in using this digital radiography. Backed by over 30 years of in-depth dental experience, we can help you accurately diagnose your condition and then work to treat it effectively.
Read More
In terms of benefits, digital x-rays offer:
- Decreased exposure to x-ray radiation by up to 90 percent, as opposed to traditional x-rays.
- A much faster process overall, since we do not have to reload film positioners for every picture and because there is no film development phase. The photos are automatically uploaded to our computer monitor for clear and instant viewing.
- The ability to enhance pictures of your teeth, and a variety of methods for improved viewing.
- The ability to save images on our computer for instant retrieval.

Our Dental X-Ray Services
At MacPhail Signature Smiles, we offer comprehensive dental imaging services using the latest technology to ensure accurate diagnosis while prioritizing your safety and comfort.
Digital Radiography
Digital dental X-rays at MacPhail Signature Smiles reduce radiation exposure by up to 90% compared to traditional film X-rays while providing faster imaging without chemical film development. Our advanced digital sensors capture highly detailed images that appear instantly on our computer screens, allowing us to magnify, enhance, and analyze them with you right in the treatment room. Digital radiography significantly improves our diagnostic accuracy, leading to more timely and effective treatments while enabling better storage and quick retrieval of your dental records over time.

CBCT Technology
Our office utilizes Cone Beam Computed Tomography (CBCT) technology, an advanced imaging system that creates detailed 3D images of your teeth, soft tissues, nerve pathways, and bone in a single scan. This technology provides unparalleled diagnostic capabilities for complex cases, helping us plan dental implant placements with incredibly detailed images, visualize root canal anatomy, and evaluate jaw disorders. CBCT imaging aids significantly in TMJ/TMD therapies and orthodontic treatment planning by giving us a complete view of your oral structures and their relationships to provide more predictable treatment outcomes.

How We Use Dental X-Rays at Our Practice
Comprehensive Evaluation
Dr. MacPhail, DDS personally reviews your dental history and discusses any specific concerns before recommending X-rays. She explains which types of dental images will provide the most accurate diagnosis for your unique oral health situation. Our team considers your overall health background, including previous dental work and medical conditions that might influence our imaging approach.
Tailored Radiation Safety
MacPhail Signature Smiles creates a personalized imaging plan using only the necessary X-rays for proper diagnosis while minimizing radiation exposure. Dr. MacPhail, DDS follows the ALARA principle (As Low As Reasonably Achievable), ensuring you receive the lowest effective dose possible. We factor in your age, dental history, risk factors, and time since previous X-rays to determine the appropriate imaging frequency.
Comfortable Imaging Experience
We gently place comfortable digital sensors in your mouth while you wear a protective lead apron that shields your body from our already-minimal radiation levels. The entire x-ray procedure typically takes just 5-7 minutes, with our team guiding you through each step for maximum comfort. Dr. MacPhail’s gentle approach ensures even patients with sensitive mouths have a pain-free imaging experience.
Interactive Results Review
Dr. MacPhail, DDS analyzes your X-ray images and shares findings with you on our high-definition chairside monitors, where you can see exactly what she sees. She points out important structures and explains any concerns using clear, non-technical language you can easily understand. These digital images become part of your secure electronic record, enabling precise comparison during future visits.
Personalized Care Planning
Based on your x-ray results, Dr. MacPhail, DDS develops specific treatment recommendations or monitoring protocols tailored to your individual needs. For areas requiring observation rather than immediate treatment, we schedule appropriate follow-up imaging at strategic intervals. This careful planning ensures comprehensive dental care that addresses both immediate concerns and long-term oral health maintenance.

Why Choose Our Approach to Dental Imaging
At MacPhail Signature Smiles, we’ve invested in cutting-edge digital radiography that delivers crystal-clear diagnostic images while reducing your radiation exposure by 90%. Dr. MacPhail, DDS personally reviews every X-ray, bringing over 20 years of specialized experience to detect even subtle concerns that less-trained eyes might miss.
Our entire team receives ongoing education on the latest imaging techniques. We maintain Well-maintained equipment standards that exceed industry requirements, and we customize imaging protocols for each patient, ensuring that we never take unnecessary X-rays. Most importantly, we explain every finding in straightforward language, showing you precisely what we see on our high-definition monitors so you understand your oral health status completely.
See What Others Miss With Expert Dental Diagnostic Images!
Your complete dental health picture starts with precise, low-radiation X-rays at MacPhail Signature Smiles. Call our office at 517-347-6733 to schedule with Dr. MacPhail, DDS, who personally reviews all diagnostic imaging. Connect with us on Facebook and Instagram for patient education content and special offers on preventive care services.
FAQs
Can I refuse dental X-rays?
Yes, you have the right to refuse dental X-rays, though this may limit Dr. MacPhail’s ability to provide comprehensive care since many dental issues develop below the visible surface. We’re happy to discuss any concerns about radiation exposure and explain the specific benefits in your case. Without necessary X-rays, certain treatments may not be possible or may require signing an informed refusal document.
Are dental X-rays safe?
Yes, dental X-rays are very safe with our digital technology, exposing you to approximately 90% less radiation than traditional film X-rays—about the same amount you’d receive from a short airplane flight. We further minimize exposure using protective lead aprons, thyroid collars, and targeting only necessary areas. The diagnostic benefits of properly timed dental X-rays far outweigh the minimal risks associated with the extremely low radiation exposure.
How many dental X-rays are safe in a month?
There’s no specific monthly limit for dental X-rays, as safety depends on cumulative exposure over time and individual circumstances. At MacPhail Signature Smiles, we follow ADA and FDA guidelines, taking X-rays only when necessary for diagnosis. Typically, this occurs once or twice a year for most patients, rather than monthly. Our digital technology significantly reduces radiation exposure, making even multiple necessary X-rays within a short timeframe generally safe while we carefully track your cumulative exposure.
Can you get dental X-rays while pregnant?
Yes, dental X-rays can be performed safely during pregnancy when necessary for the diagnosis and treatment of dental problems. At MacPhail Signature Smiles, we take extra precautions for pregnant patients, including using double lead aprons covering both the abdomen and thyroid area. While we typically postpone routine X-rays until after pregnancy, the American Dental Association and American Congress of Obstetricians and Gynecologists affirm that necessary dental X-rays with proper shielding are considered safe when dental care is necessary.
How much do dental X-rays cost?
Costs vary by type, with bitewing X-rays (cavity detection) typically $25-50 each, full mouth series $100-250, panoramic X-rays $60-150, and CBCT 3D imaging $250-500, depending on the scan area. Most dental insurance plans cover preventive X-rays at 80-100% once or twice yearly. For patients without insurance, MacPhail Signature Smiles offers various payment options and dental savings plans to make necessary imaging affordable.